坚持创新使命—昕诺医学再添结构心脏病模型

2023-04-19 11:00 昕诺医学

随着经导管二尖瓣介入产品的不断出现,常规使用的未发生二尖瓣关闭不全的动物模型,不能更好的体现出产品的性能。为了解决这一客户需求,昕诺医学和复旦大学附属中山医院心内科临床医生深入合作,经过文献检索,方法设计,实验验证等不断尝试后,于近日完成对该动物模型的攻克。相较于原本使用的方法,本中心的方法具有以下特点:

对动物的损伤小,采用微创介入方法,仅一个穿刺点
手术速度快,全程一小时
成模速度快,术后饲养一个月即可,减少饲养支出,降低试验成本
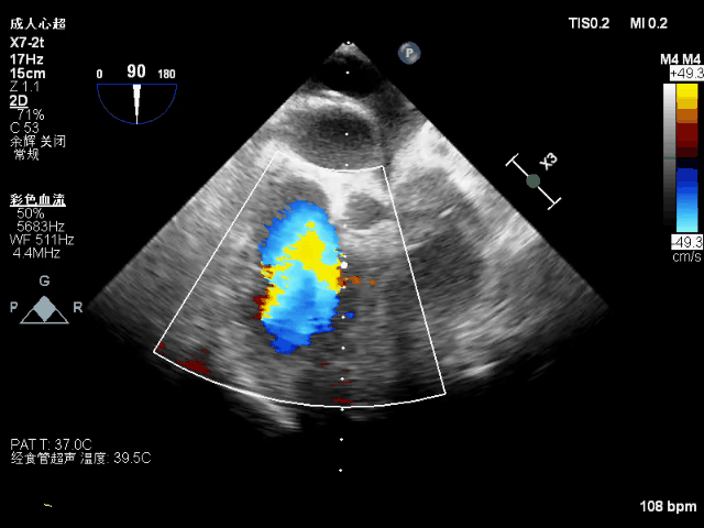
模型稳定,动物术后一月随访结果表明,二尖瓣中度程度多为中度,可进行二尖瓣置换手术

‍‍术前


术后

术后

术后

上海昕诺医学研究(CCI 动物实验中心)成立于 2020 年,位于上海大虹桥板块,定位于创新医疗器械研发、科研项目临床前服务提供商,我们汇聚了动物实验领域的专业人才团队、更有临床医学领域尤其是介入领域顶级专家顾问团队,通过专业级猪、犬、 兔、豚鼠、羊等动物实验,对创新医疗科技企业各类器械的安全性及有效性进行检验及测试,并出具医学研究报告。同时我们大力支持临床医生的科研实验项目及医工合作项目,助力中国创新医疗器械领域研发和科研的转化!